今天稍微花個小篇幅,把演講時討論的點
之前在演講會被問到、醫師們比較好奇的問題,
也稍微整理一下,供有興趣的醫師參考。
1. Calcar restoration
在近端肱骨骨折中,會失敗的案例往往都因為內側失去支撐或支撐力不足
當rotator cuff不停地往上往後拉扯肱骨頭,
肱骨頭受到很大的medial collapse力量,便會產生:
- screw loosening/ cut out:螺絲向上鬆脫
- plate breakage:鋼板因金屬疲勞而斷裂
要如何解決呢?目前大家的作法是加強內側的穩定度
主要分成兩大類,第一種是Calcar screw
在各大廠牌的locking plate之中,均有一設計好的calcar screw
其功能類似於腳踏車的kickstand
其實3C產品也有類似的產品
有人覺得好奇,所以做了這樣一個生物力學實驗:
他去比較內側比較碎沒有骨頭支撐、內側不碎有骨頭支撐
以及有沒有鎖上calcar screw(如圖A,C)
發現內側比較碎沒骨頭支撐的組別(A,B),生物力學強度比不上不碎又有骨頭支撐的(C,D)
而且有打calcar screw,也能增加其生物力學強度。
在原本NCB locking plate的設計中,如果術者使用原廠設計的guiding jig瞄準器
那所有的screw都會平著打,不會有斜斜的calcar screw
如果想要打calcar screw,必須拿掉guiding jig之後
利用NCB locking plate允許每個洞上下各15度的調整空間,
自己「free hand」打。
但會遇到問題,通常這時候calcar screw會選擇在第三、或第四個洞
我們發現幾乎都會遇到axillary nerve及其所在的neurovascular bundle......
怎麼辦呢?其實只要把上端的傷口拉開來往下看,就看得到啦~
「看著打screw」就可以避免傷到axillary nerve。
而calcar restoration不只calcar screw一種方法,
因為內側比較碎沒有支撐力,即使有calcar screw也不代表萬無一失
所以在內側加上一支fibular allograft、impacted morselized allograft、注射式人工骨、自體骨......等等方式,增強內側固定力,
避免rotator cuff一直拉humeral head、pectoralis major一直拉shaft
造成之後medial collapse或plate breakage等complication。
印象深刻的是,林晉教授一直強調impacted morselized allograft很好
(可能因為我一直說inlay fibular allograft很好吧 XD)
Anyway,內側medial calcar restoration的目的達到就好 ^_^
2, Reduction technique
上一篇有提到,其實在做這樣微創手術的時候,復位是很令人頭痛的
因為傷口小,沒辦法慢慢把碎片找出來對回去
所以closed reduction的技巧很關鍵。
我之前使用的方法是利用Mayo stent,讓肩膀abduction 60度左右
再稍微traction,外型就差不多回來
不過在醫學會跟眾前輩討論後,我覺得還有個缺點
就是rotator cuff依然會把humeral head往後拉,造成「rotational malreduction」
這時候可以利用K-wire做joystick的方式,將humeral head拉到好的位置
或者可以在rotator cuff上面縫幾條ethibond suture
朝著rotator cuff反方向拉,就可以達成不錯的復位
如果大結節有骨折,更是適合這樣做。
最後是鎖螺絲的順序。
剛開始做這種手術的時候,利用K-wire把plate暫時固定在骨頭後
會從遠端開始把螺絲一根一根往近端鎖
不過會發現這種情形:
內側看起來比剛復位好的時候更空了.......
於是我改成:
先打中間的screw,術後看起來就好多了~
網站頁籤
▼
2014年7月19日 星期六
2014年7月5日 星期六
以微創手術(NCB-PH locking plate)治療近端肱骨骨折
最近被邀請到韓國trauma update以及國內第一屆Pan-Asia Orthopedic Trauma Symposium演講這個題目,想一想還是寫個網誌做個小筆記好了。
近端肱骨骨折(proximal humerus fracture)是一種常見於老人家的骨折,
當然年輕人若受到較大能量的撞擊(如車禍)也有相當比例
目前治療方式較廣為大部分骨科醫師接受的,包括:
1. 鋼針(Pinning)固定:
想當然耳,固定力較差,所以術後病人必須被固定不能動彈以免鋼針跑掉
而且如果鋼針留在皮膚外層,感染的機會便大增,也增加照護的困難度
以前當住院醫師的時候,大概是骨質非常疏鬆的病人才會考慮
但當年我們沒有什麼好的鋼板可用..........
到今日,我的原則是除非有感染、或非常逼不得已的情況,不會想考慮這個作法。
2. 髓內釘固定:
穩定性也不錯,目前國內也有相當多醫師習慣採用的固定方式(特別是台大榮總系統)
缺點是其入口在旋轉肌袖上,所以可能骨折癒合後對於肩部功能有負面影響的疑慮
這方面我個人經驗不多,所以沒辦法多談
3. 鋼板固定:
在外側打上一個鋼板,用螺絲把骨頭固定住
如果合併大結節小結節的骨折,即3-part/4-part骨折,可同時加以固定。
這大概是全世界醫師最常採用的作法了,我想是可能是因為經驗問題,
因為使用的approach是大部分的肩關節手術的approach,deltopectoral(中國用語:入路)
然而近年來,傳統deltopectoral approach因為視野較局限於前側,
不易固定偏後側的greater tuberosity
因此越來越多醫師改採anterolateral或deltoid-split approach:
不過這仍有一個缺點,就是要小心腋神經(Axillary nerve)
如果傷到axillary nerve,會使得三角肌萎縮(deltoid muscle atrophy),特別是前緣
畢竟deltopectoral approach就是為了避開axillary nerve所設計的approach。
各種方法都有其優缺點,揪竟~~應該怎麼選擇呢?
我想,跟醫師的熟悉度最有關係
而小弟我的訓練歷程中,老師都是選擇用plate,我便順理成章地為plate一派。
約兩年前,美商捷邁公司(Zimmer)推出一項plate產品,叫NCB-PH系統
這是截至目前為止市面上唯一一種可以用對準工具(jig)做微創手術的產品
我便從那時開始使用,直到現在,共累積了15個病例。
對於two part fracture,也就是比較不那麼碎的近端肱骨骨折,
我個人認為這大概是最好的選擇了!
傷口小、恢復快、併發症較少、減少軟組織破壞.....等等優點
在我的經驗中,手術後的恢復速度比之前用一般的互鎖式鋼板(locking plate)略快
但是比傳統鋼板、也就是健保給付的鋼板,好上非常多
我也很幸運的,所有病例中沒有遭遇到嚴重的併發症,
如:感染、螺釘鬆脫、缺血性壞死等等,而需要再開一次刀做處理.....等
在今年Clinical Orthropaedics and Related Research的一篇德國研究中,
將病人分成傳統deltopectoral approach、較大傷口一組,以及Deltoid-split微創一組
(不過我想deltopectoral組都使用locking plate吧)
他們發現兩組沒有顯著差異,亦即deltoid-split是安全的手術
就我個人經驗,使用微創的deltoid-split手術,不只手術傷口小、組織破壞少
當技巧越趨成熟,其手術時間也減少許多
日前一位94歲的婆婆,僅僅花不到一個小時的時間就完成手術
如此一來既可減少手術和麻醉時間、減少手術併發症,又能達到一樣的手術成效
豈不樂哉?
不過這項手術並非毫無缺點,在我的經驗中,如果遇到較碎的骨折
例如3-part、4-part的骨折,包含了大結節(greater tuberosity)骨折
手術的成效就會比較差。
因為這類骨折,需要較大的傷口,把碎片拉回原處固定好
而且常常會合併肌腱的損傷,老人家尤甚
所以需要特別小心地完成手術,以避免復位不佳、功能恢復受影響等問題。
另外一個缺點是,因為手術的方式跟傳統手術方式差異頗大
所以如復位的技巧、螺絲固定的順序、螺絲的方向等等
都幾乎等於學習一種新的手術
所以對於較沒經驗的醫師,成功完成手術的門檻較高;
不過我相信未來隨著骨科醫師們的經驗漸多,一定會有所改變!
最後是韓國醫師很關心的一個問題,
就是這種鋼板較傳統鋼板厚,會不會有impingement(撞擊症候群)的問題
亦即讓病人的手比較容易抬不高?
其實我們在手術中,鋼板的位置都擺得較低,所以鋼板impingement的機會很低
而我的感覺是,老人家的手抬不高應該不是因為impingement,而是肌腱的問題
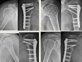
例如這位三十幾歲的病人,手術後第三個月回診,
據病人表示,她覺得肩部的功能幾乎正常,可以做的事情跟手術前差不多
雖然該病患的骨折較不那麼嚴重,但可以恢復得這麼快、這麼好
這是傳統手術、或一般互鎖式鋼板很難達到的手術成效。
近端肱骨骨折(proximal humerus fracture)是一種常見於老人家的骨折,
當然年輕人若受到較大能量的撞擊(如車禍)也有相當比例
目前治療方式較廣為大部分骨科醫師接受的,包括:
1. 鋼針(Pinning)固定:
想當然耳,固定力較差,所以術後病人必須被固定不能動彈以免鋼針跑掉
而且如果鋼針留在皮膚外層,感染的機會便大增,也增加照護的困難度
以前當住院醫師的時候,大概是骨質非常疏鬆的病人才會考慮
但當年我們沒有什麼好的鋼板可用..........
到今日,我的原則是除非有感染、或非常逼不得已的情況,不會想考慮這個作法。
2. 髓內釘固定:
穩定性也不錯,目前國內也有相當多醫師習慣採用的固定方式(特別是台大榮總系統)
缺點是其入口在旋轉肌袖上,所以可能骨折癒合後對於肩部功能有負面影響的疑慮
這方面我個人經驗不多,所以沒辦法多談
3. 鋼板固定:
在外側打上一個鋼板,用螺絲把骨頭固定住
如果合併大結節小結節的骨折,即3-part/4-part骨折,可同時加以固定。
這大概是全世界醫師最常採用的作法了,我想是可能是因為經驗問題,
因為使用的approach是大部分的肩關節手術的approach,deltopectoral(中國用語:入路)
然而近年來,傳統deltopectoral approach因為視野較局限於前側,
不易固定偏後側的greater tuberosity
因此越來越多醫師改採anterolateral或deltoid-split approach:
不過這仍有一個缺點,就是要小心腋神經(Axillary nerve)
如果傷到axillary nerve,會使得三角肌萎縮(deltoid muscle atrophy),特別是前緣
畢竟deltopectoral approach就是為了避開axillary nerve所設計的approach。
各種方法都有其優缺點,揪竟~~應該怎麼選擇呢?
我想,跟醫師的熟悉度最有關係
而小弟我的訓練歷程中,老師都是選擇用plate,我便順理成章地為plate一派。
約兩年前,美商捷邁公司(Zimmer)推出一項plate產品,叫NCB-PH系統
這是截至目前為止市面上唯一一種可以用對準工具(jig)做微創手術的產品
我便從那時開始使用,直到現在,共累積了15個病例。
對於two part fracture,也就是比較不那麼碎的近端肱骨骨折,
我個人認為這大概是最好的選擇了!
傷口小、恢復快、併發症較少、減少軟組織破壞.....等等優點
在我的經驗中,手術後的恢復速度比之前用一般的互鎖式鋼板(locking plate)略快
但是比傳統鋼板、也就是健保給付的鋼板,好上非常多
我也很幸運的,所有病例中沒有遭遇到嚴重的併發症,
如:感染、螺釘鬆脫、缺血性壞死等等,而需要再開一次刀做處理.....等
在今年Clinical Orthropaedics and Related Research的一篇德國研究中,
將病人分成傳統deltopectoral approach、較大傷口一組,以及Deltoid-split微創一組
(不過我想deltopectoral組都使用locking plate吧)
他們發現兩組沒有顯著差異,亦即deltoid-split是安全的手術
就我個人經驗,使用微創的deltoid-split手術,不只手術傷口小、組織破壞少
當技巧越趨成熟,其手術時間也減少許多
日前一位94歲的婆婆,僅僅花不到一個小時的時間就完成手術
如此一來既可減少手術和麻醉時間、減少手術併發症,又能達到一樣的手術成效
豈不樂哉?
不過這項手術並非毫無缺點,在我的經驗中,如果遇到較碎的骨折
例如3-part、4-part的骨折,包含了大結節(greater tuberosity)骨折
手術的成效就會比較差。
因為這類骨折,需要較大的傷口,把碎片拉回原處固定好
而且常常會合併肌腱的損傷,老人家尤甚
所以需要特別小心地完成手術,以避免復位不佳、功能恢復受影響等問題。
另外一個缺點是,因為手術的方式跟傳統手術方式差異頗大
所以如復位的技巧、螺絲固定的順序、螺絲的方向等等
都幾乎等於學習一種新的手術
所以對於較沒經驗的醫師,成功完成手術的門檻較高;
不過我相信未來隨著骨科醫師們的經驗漸多,一定會有所改變!
最後是韓國醫師很關心的一個問題,
就是這種鋼板較傳統鋼板厚,會不會有impingement(撞擊症候群)的問題
亦即讓病人的手比較容易抬不高?
其實我們在手術中,鋼板的位置都擺得較低,所以鋼板impingement的機會很低
而我的感覺是,老人家的手抬不高應該不是因為impingement,而是肌腱的問題
例如這位三十幾歲的病人,手術後第三個月回診,
雖然該病患的骨折較不那麼嚴重,但可以恢復得這麼快、這麼好
這是傳統手術、或一般互鎖式鋼板很難達到的手術成效。













